Saturday, September 3, 2016

Benign Teratoma

Benign Teratoma Images

Retroperitoneal Teratoma - Advanced Radiology Teaching
Retroperitoneal Teratoma Heather Borders, MD 03/04/2012 History Newborn with congenitally diagnosed mass. No other clinical symptoms. Diagnosis Retroperitoneal Teratoma; Immature teratoma, grade 1, with microscopic yolk sac tumor. ... Content Retrieval

Images of Benign Teratoma

BENIGN CYSTIC TERATOMA - YouTube
By DR TAHIR A SIDDIQUI ( consultant sonologist ) Gujranwala. Pakistan. ... View Video

What Is Lymphoma? - Definition And Introduction
Lymphoma is a cancer of the lymph system. What is cancer?: A cancer is a condition when some of the body's own cells start behaving abnormally. Our body is made of different types of cells in different organs eg. nerves or blood. ... Read Article

Pictures of Benign Teratoma

Teratoma - Wikipedia, The Free Encyclopedia
A teratoma is a tumor with tissue or organ components resembling normal derivatives of more than one germ layer. Although the teratoma may be monodermal or polydermal (originating from one or more germ layers), its cells may differentiate in ways suggesting other germ layers. ... Read Article

Benign Teratoma Images

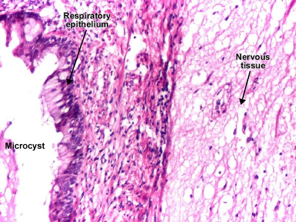
Benign Teratoma Of The Nasal Cavity
Benign Teratoma of the Nasal Cavity Med J Malaysia Vol 59 No 5 December 2004 679 region and the head and neck region only accounts for 5% of all neonatal teratomas1. ... Read Full Source

Benign Teratoma

Multiple And Bilateral benign Cystic Teratomas Of Ovary With ...
Background: Benign cystic teratoma is the most common tumor of ovary. Though bilateralism is seen in 10-15% of the cases, bilateral and multiple benign cystic teratomas are rare and very few cases have been reported in the literature. ... Get Doc

Benign Teratoma

Benign Mediastinal Teratoma - The New England Journal Of ...
Images in clinical medicine The new england journal of medicine n engl j med 359;8 www.nejm.org august 21, 2008 841 A 23-year-old male marine recruit passed out while bending over ... Content Retrieval

Images of Benign Teratoma

Benign Cystic teratoma Of Mediastinum
244 Indian J. Surg. (September–October 2008) 70:244–246 123 Abstract Benign mediastinal teratoma accounts for 60% of all mediastinal germ cell tumors, which in turn account ... Retrieve Content

Images of Benign Teratoma

Cystic teratoma Of The Omentum: A Case Report - Medigraphic
Teratoma quístico del omento. Informe de un caso Cystic teratoma of the omentum: Benign cystic teratomas of the omen-tum are an extremely rare condition. We report a case of a mature cystic teratoma of the omentum. ... Access Doc

Benign Teratoma Images

Sacrococcygeal teratoma - Wikipedia, The Free Encyclopedia
Sacrococcygeal teratoma (SCT) is a type of tumor known as a teratoma that develops at the base of the coccyx (tailbone) and is thought to be derived from the primitive streak [citation needed] ... Read Article

Benign Teratoma Pictures

Benign Mediastinal teratoma Complicated By Cardiac ... - Springer
Surg Today Jpn J Surg (1999) 29:1206–1208 Benign Mediastinal Teratoma Complicated by Cardiac Tamponade: Report of a Case Ryo Maeyama1, Akihiko Uchiyama1, Ryuji Tominaga2, Hitoshi Ichimiya3, Kentaro Kuroiwa4, ... Doc Viewer

Signs And Symptoms Of Paraneoplastic Syndromes
Signs and Symptoms of Paraneoplastic Syndromes. By Peter Pressman, M.D. Neurology Expert Share Pin which is classically associated with ovarian teratoma. LGI1, formerly lumped as voltage gated potassium vertigo, dizziness, nausea, benign paroxysmal positional vertigo, vestibular migraine; ... Read Article

Images of Benign Teratoma

Huge Benign Teratoma Of Middle Mediastinum A Rare Case
Huge Benign Teratoma of Middle Mediastinum – A Rare Case www.iosrjournals.org 61 | Page Radiographically mature teratoma is rounded, sometimes lobulated mediastinal mass with the borders sharply ... Read Content

Benign Teratoma Photos

IMMATURE PLACENTAL TERATOMA
Placental teratoma was considered to be a benign tumour with no harmful effect on mother or fetus, but this case highlighted that it can be malignant, Histopa-thology of all suspicious looking masses delivered with placenta should be encouraged and regularly carried ... Doc Retrieval

Benign Teratoma

Benign Cystic Teratoma In A Two-year-old Child: A Case Study
Med. j. malaysia vol. 41 no. 2 june 1986 benign cystic teratoma in a two-year-old child: a case study thavarasah a. s. shanta krishnamurthi gururaj aithala ... View Document

Benign Teratoma

Benign Cystic Teratoma Of The Parotid Gland
Poster Design & Printing by Genigraphics® - 800.790.4001 Objective: 1. A case report of benign cystic teratoma of the parotid gland 2. Review the imaging characteristics, ... Read Full Source

Benign Teratoma Photos

Benign Cervical teratoma In An Adult: Report Of A Case
472 H. Abe et al.: Benign Cervical Teratoma in an Adult ture tissue or a mixture of mature and immature tissue. There were 3 men and 4 women ranging in age from 21 ... Return Document

Benign Teratoma Photos

Primary Mature Cystic Teratoma Of The Liver: Report Of A Rare ...
Whether this is truly a benign teratoma or somehow related to her diagnosis of endometrial cancer. Recommendations for surgical excision of the teratoma in this patient should be dis-cussed. Although CT scans allow for the diagnosis of teratoma ... Access Doc

Benign Teratoma Images

Benign Teratoma Of The Liver: A Rare Cause Of Cholangitis
Benign teratoma of the liver: a rare cause of cholangitis K Rahmat*,1, MBBS, FRCR, MRad, A Vijayananthan 1, MBBS, MRad, adults, benign teratomas do not directly affect the general condition of the patient; compression of the surrounding ... View This Document

Images of Benign Teratoma

Twisted benign Ovarian teratoma Presenting With Pain And ...
CASE REPORT Open Access Twisted benign ovarian teratoma presenting with pain and generalized pruritus: a case report Raeed Deen1*, Asantha de Silva2 and Ruwan Wijesuriya2 ... Read Here

Benign Teratoma Pictures

Benign Diseases Of The Ovary
Benign Diseases of the Ovary. Dr. Mona A. Almushait. Dean, Girl’s Centre. Associate Professor & Consultant in Ob-Gyne. King Khalid University . Abha benign cystic teratoma (dermoid. cyst), which is a . germ cell tumor. EPITHELIAL OVARIAN NEOPLASMS. ... Return Doc

Benign Teratoma Photos

Benign Intrapulmonary teratoma: Report Of A Case
Benign intrapulmonary teratoma: Report of a case Mehmet Nesimi Eren, Akın Eraslan Balci, and S¸evval Eren, Diyarbakır, Turkey A lthough intrathoracic teratomas are frequent, benign ... Read Full Source

Benign Teratoma Images

Mature Mediastinal Teratoma- A Rare Cause Of Recurrent ...
Key Words: Infant, Mature Teratoma, Mediastinal mass, Respiratory Distress. Surgical treatment of a benign mature teratoma localized in anterosuperior mediastinum. The Internet Journal of Thoracic and Cardiovascular Surgery, 2005;7(1). ... Fetch Content

Benign Teratoma Pictures

Benign Mature Cystic teratoma Of Parotid: A Case Report
1 Benign Mature cystic teratoma of parotid: A case report Basheer Jabbar Sabhan, B.D.S, M.Sc. (oral path) E-mail: Basheerpath@yahoo.com Abstract ... Retrieve Here

Photos of Benign Teratoma

Intrapericardial Benign Teratoma With Unusual Presentation
Case Report Intrapericardial Benign Teratoma with Unusual Presentation R.K. Dewan, Kumud Gupta 1, B.K. Meena and Meenal Aggarwal Departments of Thoracic Surgery and Pathology1, L.R.S. Institute of TB and ... Get Content Here

No comments:

Post a Comment